Um par de pés saudáveis é metade da batalha para correr bem. São eles que levam porrada a cada passada, milhares de vezes por treino. Ignorá-los é pedir para parar mais cedo ou mais tarde. Aqui estão as lesões mais comuns , o que são, por que aparecem e o que fazer.
Inflamação no tendão de Aquiles
O tendão de Aquiles conecta as panturrilhas ao calcanhar e é um dos mais solicitados na corrida. Quando inflama, fica rígido, sensível ao toque e dói principalmente ao iniciar o treino ou no dia seguinte.
Causas
Excesso de treinamento, aumento rápido de volume, rampas frequentes, panturrilhas rígidas e falta de recuperação.
Tratamento
Reduzir carga, gelo local, massagem, eventualmente anti-inflamatórios prescritos. Se a dor persistir mais de duas semanas, fisioterapia ou ortopedia.
Prevenção
Alongar as panturrilhas depois de correr, fortalecer a área, progressão gradual do treino e atenção ao calçado.
Pode-se correr com isso?
Não. Correr com dor no Aquiles pode acabar em ruptura parcial ou total.
Torção no tornozelo
A clássica entorse. Normalmente acontece ao pisar mal, em terrenos irregulares ou trilhas.
Causas
Buracos, pedras, passeios irregulares, fadiga e falta de estabilidade.
Tratamento
Parar imediatamente, gelo, compressão e elevação. Se houver inchaço ou dor persistente, avaliação médica.
Prevenção
Trabalho de força e estabilidade do tornozelo, escolha adequada de terreno e calçado.
Pode-se correr com isso?
Não. Uma entorse mal curada torna-se crônica.
Pé de atleta
Infecção fúngica comum, especialmente entre os dedos. Provoca comichão, vermelhidão e descamação.
Causas
Humidade, meias molhadas, falta de ventilação e duches públicos.
Tratamento
Cremes antifúngicos e manter os pés secos.
Prevenção
Trocar meias após o treino, secar bem os pés e usar sapatos respiráveis.
Pode-se correr com isto?
Sim, desde que tratado.
Unha negra
Acontece quando há acumulação de sangue sob a unha, normalmente do dedo grande.
Causas
Ténis pequenos, descidas prolongadas, impacto repetido.
Tratamento
Se houver dor intensa, drenagem por profissional. Caso contrário, deixar crescer.
Prevenção
Escolher tênis com espaço frontal e unhas bem cortadas.
Pode-se correr com isto?
Depende da dor. Sem dor, sim.
Joanete
Desvio ósseo na base do dedo grande, progressivo e muitas vezes hereditário.
Causas
Genética, calçado apertado, alterações biomecânicas.
Tratamento
Palmilhas, calçado largo, protecções locais. Em casos graves, cirurgia.
Prevenção
Evitar tênis estreito e controlar a pisada.
Pode-se correr com isto?
Sim, se não houver dor significativa.
Bolhas
O inimigo silencioso das provas longas.
Causas
Atrito, umidade, meias erradas ou tênis novos.
Tratamento
Se intacta, proteger. Se rebentar, desinfectar e cobrir.
Prevenção
Meias técnicas, pés secos, vaselina ou creme anti-fricção.
Pode-se correr com isso?
Sim, mas com proteção adequada.
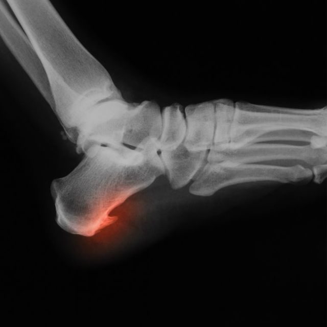
Esporão calcâneo
Protuberância óssea no calcanhar associada a inflamação dos tecidos.
Causas
Arco do pé elevado ou muito rígido, impacto repetido.
Tratamento
Palmilhas, adaptação do calçado, fisioterapia. Casos graves podem exigir infiltrações ou cirurgia.
Prevenção
Bom amortecimento, calçado adequado e gestão de carga.
Pode-se correr com isto?
Depende da dor e da inflamação.













